
Nueva línea celular de branquias de salmón como modelo para calidad de agua en RAS
Científicos noruegos evaluaron una línea celular de branquias de salmón del Atlántico (ASG-10) como modelo in vitro para evaluar la calidad del agua en sistemas de recirculación.
Mantener niveles adecuados de los distintos parámetros de calidad de agua en sistemas de recirculación (RAS) es fundamental para garantizar la salud y productividad de los peces.
Contar con una forma simple y confiable de evaluar cómo los niveles de amoniaco/amonio, nitrito, nitrato, metales pesados, pH, entre otros parámetros, afectan a los peces, sería de gran ayuda tanto para los investigadores como para los productores.
Por esta razón, un nuevo estudio realizado por científicos noruegos del Instituto Noruego Veterinario y la Nord University, propone una nueva línea celular de branquias de salmón del Atlántico (ASG-10) como un modelo in vitro para abordar los problemas de calidad del agua en la acuicultura.
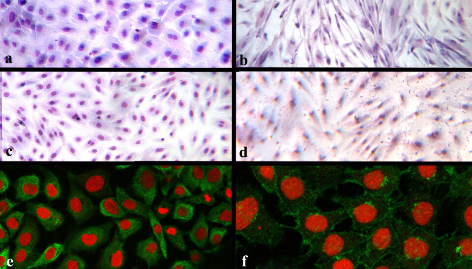
Mediante una serie de experimentos, los investigadores evaluaron qué tan específica y sensible era la línea ASG-10 para evaluar y observar los cambios celulares al ser expuestas a amonio y aluminio.
“El amoníaco/amonio (NH3 /NH4+), un desafío reconocido en los sistemas de recirculación con uso intensivo de agua, indujo la vacuolización lisosomal, redujo la degradación de proteínas y la migración celular de las células ASG-10. El aluminio (Al n+), otro desafío en las instalaciones de acuicultura de agua dulce, tuvo solo efectos menores”, explicaron los autores en cuanto a sus resultados.
Los investigadores destacaron que la línea ASG-10 proporciona una plataforma eficiente y reproducible para evaluar los efectos de contaminantes, cambios de temperatura y niveles de oxígeno, entre otros factores ambientales. Además, de facilitar la experimentación sin la necesidad de recurrir a animales vivos, promoviendo prácticas más éticas en la investigación.
A pesar de algunas limitaciones y de que también existe otra línea celular branquial alternativa de truchas arcoíris para este tipo de experimentos, los expertos concluyeron que la línea celular ASG-10 “es una buena base para un mayor desarrollo de un modelo funcional de branquias de salmón del Atlántico”.
Revise el estudio completo titulado “Gill epithelial cell line ASG-10 from Atlantic salmon as a new research tool for solving water quality challenges in aquaculture”, aquí.